Sus pacientes lo ven en redes sociales, televisión y blogs de belleza, y esa es la razón principal por la que normalmente piden tratamientos que utilicen algún tipo de luz o láser. La pregunta es: ¿Cómo educarlos sobre la realidad detrás de los blanqueamientos dentales y la efectividad de productos que utilizan luces frente a aquellos que no? ¡Ultradent tiene la respuesta!
Nos sentamos con nuestro director técnico de blanqueamiento, Peter Allred, quien nos dio algunos tips para educar a sus pacientes al respecto y para que les hable sobre los pros y los contras de la luz láser utilizada en ciertos procedimientos de blanqueamiento.
"Lo más importante es ayudarles a entender que, de acuerdo a evidencia arrojada por pruebas médicas de más de una docena de clínicas independientes, los blanqueamientos dentales con luces o láser no son más que una estrategia de mercadeo y que, no solo no contribuyen a un mejor resultado que aquellos que no requieren costosos equipos adicionales sino que, por el contrario, incrementan innecesariamente el tiempo y la complejidad del tratamiento.1 Años atrás, el programa de televisión “Cambio Extremo” puso de moda entre los pacientes la idea del blanqueamiento con luces y, desde entonces, muchos no han podido liberarse de esa falsa imagen que no corresponde con la realidad. Dichas luces solo crean la ilusión de un resultado temporal más blanco y pueden causar efectos negativos que incluyen quemaduras orales y estimulación pulpar” – dice Allred.
Sugiere además explicar a sus pacientes que nuestro tejido oral permanece naturalmente en un ambiente oscuro, con una muy reducida exposición a la luz y que, por lo tanto, someterlo a un flujo continuo de luz de alta intensidad, con calor y rayos UV, por un período prolongado de tiempo, no puede ser bueno para ese tejido oral.
Un estudio comparativo conducido por un equipo de doctores del Instituto Nórdico de Materiales Dentales, liderado por la Dra. Ellen Bruzell, concluyó sobre el blanqueamiento con luz, que además de no ofrecer beneficios reales a largo plazo, puede causar ranuras más expuestas y hacer que la superficie del esmalte dental sea más vulnerable al estrés y a otros daños relacionados: "El uso de luz UV en blanqueamientos dentales pone al paciente en alto riesgo de radiación en áreas sensibles, con consecuencias como sangrado de las encías y quemaduras, sumadas a la posibilidad de cataratas, cáncer y otras enfermedades crónicas."2
La luz UV deshidrata los dientes, incrementando la sensibilidad y conduciendo a un retorno a la coloración previa, una vez que los dientes se rehidratan.
Allred agrega que "las luces empleadas en la mayoría de blanqueamientos deshidratan inevitablemente los dientes, por lo que obtienen una apariencia de blancura temporal, seguida de un posterior retorno al color previo al tratamiento, una vez que los dientes se re-hidratan. Entre más deshidratados los dientes, mayor hipersensibilidad”.
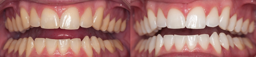
La buena noticia es que hay alternativas seguras y efectivas, que descartan el uso de luces. De hecho, el único método efectivo de blanqueamiento dental, con bajo riesgo de sensibilidad y sin un rápido retorno al color previo al tratamiento, se logra mediante una prolongada exposición a un PH estable, que es optimizada por agentes blanqueadores activos en la superficie de los dientes. El sistema de blanqueamiento en consultorio Opalescence Boost favorece una sonrisa blanca y brillante después de una hora en el sillón odontológico y sin el uso de luces. El poderoso gel de peróxido de hidrógeno al 40% se activa químicamente y contiene una alta concentración de agua para proteger contra la deshidratación y prevenir el regreso a la coloración previa.
El Sistema Opalescence Boost en consultorio ofrece una muy efectiva experiencia de blanqueamiento en consultorio sin el uso de luces, ayudando a los pacientes a evitar sensibilidad innecesaria.
Para concluir, Allred dice: "No recomendamos blanqueamientos de luz o laser porque nuestros años de investigaciones han demostrado que la manera mas segura y efectiva de lograr una sonrisa blanca no requiere de luces ni le da al paciente la ilusión de unos dientes blancos que perderán su tonalidad brillante en un corto lapso de tiempo. Productos de Ultradent como Opalescence Boost en consultorio, OpalescencePF, y Opalescence Go con cubetas pre-cargadas conducen a resultados altamente satisfactorios y honestos de los que nos sentimos orgullosos".
¡Haga click aquí para aprender más sobre nuestros sistemas de Blanqueamiento Opalescence!
Sistemas de Blanqueamiento Opalescence.
Referencias:
- Maran, M.M., et al (2018). In-office dental bleaching with light vs. without light: A systematic review and meta-analysis. Journal of Dentistry, 70(2018) 1-13.
- Bruzell, E.M., et al (2009). In vitro efficacy and risk for adverse effects of light-assisted tooth bleaching. Journal of Photochemical & Photobiological Sciences, 2009, 8, 377-385.

