Tiempo de Lectura: 4 min.
En la odontología estética en América Latina, el blanqueamiento dental va mucho más allá de un procedimiento clínico. Para muchos pacientes, una sonrisa más brillante representa confianza, bienestar y seguridad en distintos momentos de su vida.
Sin embargo, hablar de blanqueamiento en consulta no debe sentirse como una venta adicional. La clave está en abordar el tema con sensibilidad, criterio clínico y empatía. Cuando el profesional identifica el momento adecuado y comprende lo que el paciente realmente necesita, la conversación fluye de forma mucho más natural.

1. Identifique el "Momento de Adecuado" en la vida del Paciente
En nuestra región, muchas decisiones relacionadas con la imagen personal están conectadas con acontecimientos importantes. Por eso, la conversación inicial puede ofrecer pistas valiosas para introducir el tema del blanqueamiento de manera oportuna.
Eventos sociales:
Una boda, una graduación, una celebración especial o incluso una sesión de fotos pueden ser motivos importantes para que el paciente quiera mejorar la apariencia de su sonrisa.
Nuevos retos profesionales:
Una entrevista de trabajo, una presentación importante o una nueva etapa laboral también pueden abrir la puerta a una conversación sobre confianza y proyección personal.
Comentarios espontáneos:
A veces, el paciente expresa su incomodidad de forma indirecta, incluso con humor. Frases relacionadas con el color de sus dientes o hábitos como el consumo frecuente de café pueden ser una señal para ofrecer orientación profesional.

2. La Magia de la Observación (Lenguaje Corporal)
No siempre hace falta que el paciente diga directamente que quiere blanquear sus dientes. En muchos casos, su lenguaje corporal lo expresa con claridad.
Preste atención si:
- se tapa la boca al sonreír,
- evita mostrar los dientes al reír,
- o luce incómodo al hablar sobre la apariencia de su sonrisa.
En lugar de hacer una observación demasiado directa, puede utilizar un lenguaje más empático y cuidadoso, como:
“He notado que tiene una sonrisa muy bonita. ¿Le gustaría que trabajáramos en darle un poco más de luminosidad para que resalte aún más?”
Este tipo de enfoque puede ayudar a que la conversación se sienta más cercana, respetuosa y profesional.
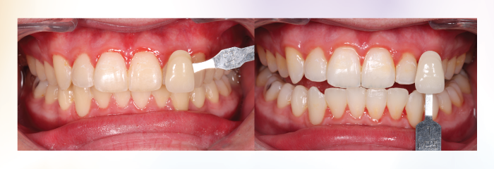
Caso clínico por la Dra. Jaleena Jessop. Resultados posteriores al tratamiento con Opalescence Boost y Opalescence Go.3. Eduque frente a los “remedios caseros” de internet
Hoy en día, muchos pacientes llegan a consulta con ideas tomadas de redes sociales o de productos comerciales de venta libre. Métodos caseros como el bicarbonato, el limón o ciertos productos abrasivos pueden parecer accesibles, pero no ofrecen la seguridad ni la supervisión que un tratamiento profesional requiere.
Aquí es donde el odontólogo cumple un papel fundamental: orientar, educar y ayudar al paciente a tomar decisiones informadas.
El blanqueamiento profesional permite ofrecer una alternativa segura, controlada y respaldada clínicamente, con resultados más predecibles y una mejor experiencia para el paciente.
4. Digitalice la Experiencia: El Poder del WhatsApp
Para el paciente latino, el correo electrónico es formal, pero el WhatsApp es personal.
La experiencia del paciente no termina al salir de la consulta. Un seguimiento oportuno puede reforzar la confianza y mantener abierta la conversación sobre tratamientos estéticos como el blanqueamiento.
- Utilice su base de datos para enviar mensajes personalizados.
- Ejemplo: "Hola [Nombre], ¡qué gusto saludarle! Noté que hace poco terminamos su limpieza. Muchos de nuestros pacientes aprovechan este mes para un retoque de brillo. ¿Le gustaría que le contemos sobre nuestras opciones de blanqueamiento?"
La intención no debe ser presionar, sino acompañar al paciente con cercanía y profesionalismo.
5. Elimine la Barrera del Precio
En muchos casos, el paciente no rechaza el tratamiento porque no le interese, sino porque asume que no está a su alcance.
Por eso, la manera en que usted presenta el blanqueamiento puede marcar una gran diferencia. Cuando se comunica con claridad, transparencia y contexto, el paciente comprende mejor el valor del tratamiento y lo percibe como una inversión en su imagen, su seguridad y su bienestar.
Siempre que sea posible, puede ser útil explicar opciones, alcances y beneficios de forma sencilla, para que la decisión se base en información y confianza.
Preguntas frecuentes que suelen hacer sus pacientes sobre blanqueamiento dental
Además de identificar oportunidades y guiar mejor la conversación, también es útil estar preparado para resolver dudas comunes. Estas son algunas de las preguntas más frecuentes que pueden surgir en consulta:
¿El blanqueamiento dañará mi esmalte?
No, siempre que sea indicado y supervisado por un profesional. Los sistemas de blanqueamiento profesional están diseñados para eliminar manchas de forma segura, a diferencia de métodos caseros abrasivos que sí pueden afectar el esmalte.
¿Me van a doler mucho los dientes por la sensibilidad?
La sensibilidad puede aparecer en algunos pacientes, pero suele ser temporal y manejable. Además, existen opciones como Opalescence PF, con nitrato de potasio y flúor, que ayudan a reducir las molestias.
¿Cuánto tiempo durarán mis dientes blancos?
Depende en gran parte de los hábitos del paciente. Con buenos cuidados, los resultados pueden durar mucho tiempo, aunque en algunos casos se recomienda un retoque cada 6 o 12 meses.
¿Por qué no puedo simplemente usar las tiras que venden en el supermercado?
Porque no están personalizadas para cada sonrisa. Esto puede provocar resultados desiguales o irritación, mientras que el blanqueamiento profesional ofrece mayor control, seguridad y mejores resultados.
¿Blanqueará también mis resinas o coronas?
No. El blanqueamiento solo actúa sobre el diente natural. Si el paciente tiene restauraciones en la zona estética, puede ser necesario planificar su reemplazo después del tratamiento para lograr un color uniforme.
Conclusión: Crear Conexiones, no Transacciones
El éxito del blanqueamiento dental en la consulta no depende únicamente del producto que se utilice, sino también de la forma en que usted presenta el tratamiento. Cuando el paciente percibe que usted comprende su contexto, responde sus dudas con honestidad y le ofrece una solución alineada con su bienestar, la conversación deja de sentirse comercial.
En Ultradent, creemos que el valor del blanqueamiento va más allá de una sonrisa más blanca. Se trata de ayudar al paciente a sentirse más seguro, más cómodo consigo mismo y más satisfecho con su imagen.
Al final, no se trata solo de estética, sino también de confianza, autoestima y calidad de vida.
¿Qué duda le hacen con más frecuencia sus pacientes sobre blanqueamiento dental?
Déjenos su opinión en los comentarios. Nos encantará leerle.


