Tiempo de lectura 7 min.
El Gemini EVO, el nuevo láser de diodo de Ultradent, promete la eficiencia de la alta potencia para corte e incisión en tejidos, combinada con la baja potencia para la fotobiomodulación, en una solución hecha a la medida para el odontólogo que busca los mejores resultados clínicos.
Hasta hace poco, la tecnología láser podía considerarse solo como un equipo de apoyo para el trabajo del odontólogo. Sin embargo, las indicaciones de tratamientos en Odontología han crecido exponencialmente, con nuevos protocolos y cada vez más enfoques clínicos, facilitando procedimientos en algunas especialidades como la Endodoncia, la Prótesis Dental, la Periodoncia y la Implantología. De esta manera, el láser ha ido asumiendo un papel protagónico en la práctica de una Odontología de excelencia.
Brasil es reconocido internacionalmente por su sólida industria en el área de láser en Odontología y por sus importantes contribuciones científicas en este campo. Con más de 417 mil odontólogos, el país ofrece un gran potencial para la aplicación y el desarrollo de esta tecnología. De este modo, existe un espacio considerable para el crecimiento y la popularización del uso del láser entre los profesionales.
Considerada una de las principales referencias en el uso del láser en Brasil, Ana Cecilia Aranha cree que es urgente la incorporación y el perfeccionamiento de los profesionales de la Odontología en el uso de esta herramienta. Para la magíster y especialista en Clínica Odontológica, existen diversas ventajas, especialmente por agregar valor y ofrecer mejores resultados. “Solía decir que el láser era un diferencial, pero ahora digo que se trata de un equipo necesario en el consultorio. Afortunadamente, estamos empezando a ver una revolución silenciosa, especialmente con los láseres de diodo, que tienen costos más accesibles para los odontólogos y para los pacientes”, explica Ana Cecilia Aranha, quien trabaja con láser desde hace 24 años.
El crecimiento del mercado de láseres también se da por la evolución de los productos. Uno de los equipos que se ha destacado es el
, láser de diodo de Ultradent. El producto es una evolución de la versión anterior, ahora equipado con nuevas funciones que prometen cumplir con todas las exigencias de los profesionales de la odontología, especialmente por ofrecer láseres de alta y baja potencia, ampliando el abanico de tratamientos y proporcionando versatilidad en los protocolos.
Con 16 procedimientos predefinidos y conectividad Wi-Fi integrada para actualizaciones y soporte técnico, el láser Gemini EVO se destaca por su enfoque en practicidad e innovación. Cuenta con una pieza de mano autoclavable y puntas maleables de un solo uso que prometen conveniencia y seguridad, mientras que la iluminación ajustable de la punta proporciona mejor visibilidad durante las cirugías. El producto tiene garantía de dos años del fabricante. “El Gemini EVO es un equipo más portátil y versátil, por ser un láser de alta potencia para corte e incisión en tejido, y también un láser de baja potencia para la fotobiomodulación, respaldando el trabajo clínico de los odontólogos brasileños en los últimos años”, reafirma Ana Cecilia.
Según Manoela Domingues Martins, doctora en Odontología y usuaria de tecnología láser desde hace 28 años, el Gemini EVO ofrece diferenciadores frente a otros equipos. “Con el Gemini EVO, tenemos la posibilidad de trabajar con dos longitudes de onda, de forma aislada o combinada, y una gran precisión de corte cuando se utiliza en alta potencia”, detalla. La calidad del corte es uno de los puntos fuertes de la herramienta. “Ultradent mejoró esta entrega de energía en el Gemini EVO, que pasó de 20 vatios a un pico de 100 vatios, con posibilidad de control de tiempo y uso superpulsado. Es decir, el láser entrega energía alta, pero en un período corto, realizando el corte con precisión y sin causar daños a los tejidos”, complementa Manoela, quien junto con Ana Cecilia Aranha participa en el desarrollo de investigaciones sobre el producto desde un enfoque clínico y científico, resultando en la mejora de protocolos basados en evidencia.
En procedimientos que involucran la Rehabilitación Oral, la apertura de implantes es una de las principales indicaciones del Gemini EVO. Pero existen muchas otras aplicaciones beneficiadas por la tecnología láser. Ana Cecilia menciona algunas: “En el tratamiento de la periimplantitis, por ejemplo, los odontólogos aún no han percibido las ganancias que ofrece el láser. También está la descontaminación para todos los procedimientos en tejido blando, como gingivoplastia, gingivectomía, ulectomía, frenectomía y otros tipos de incisión, además de vaporización del tejido y despigmentación gingival”, detalla.
Fotobiomodulación y versatilidad
Otro punto destacado del producto está relacionado con la fotobiomodulación, mediante el uso de láser de baja potencia. “En esta función, el Gemini EVO ofrece tres puntas, y una de ellas no se encuentra en el mercado brasileño: una punta de 25 mm, que puede utilizarse de forma extraoral con diversas aplicaciones clínicas, especialmente para pacientes que se rehabilitan con implantes. Considero que es una punta fantástica para el postoperatorio y para el tratamiento de problemas de dolor orofacial”, relata Manoela.
Ahorro de tiempo y mayor eficiencia, mejor cicatrización, postoperatorio predecible y menor morbilidad son señalados por las especialistas como ventajas relevantes del uso del láser. “En cualquier procedimiento realizado por el odontólogo que implique dolor, como en los casos de DTM, el profesional puede ofrecer ese confort al paciente. Es un cariño, un acompañamiento que suma valor al brindar una experiencia diferenciada. Así, quien ya hace una excelente odontología puede mejorar”, afirma Ana Cecilia.
El láser como modelo de negocio
A pesar del crecimiento en el uso de la tecnología, el láser aún arrastra mitos que impiden que algunos odontólogos comiencen a utilizar la herramienta. Entre ellos están el costo de inversión, la curva de aprendizaje y posibles dificultades tecnológicas. Sin embargo, Ana Cecilia Aranha es contundente al desmitificar estos puntos con las cualidades del Gemini EVO. “El láser de diodo no se considera caro por todo lo que el odontólogo ganará y por el retorno rápido, siempre que el profesional realice una irradiación adecuada. Además, hoy existen muchas formas de aprender y perfeccionar conocimientos, ya sea con cursos presenciales, en línea e incluso aplicaciones”, explica Ana Cecilia, quien ofrece entrenamientos presenciales para usuarios del Gemini EVO en su clínica privada en São Paulo.
El tema de los valores de inversión para adquirir el láser también está en debate constante. Manoela Domingues Martins comenta que incluso la salud pública está comenzando a incorporar el láser: “Existe el mito de que el láser está disponible solo para la población más rica. Ahora, las alcaldías están adquiriendo equipos de láser. Recientemente estuve en un entrenamiento para 50 odontólogos contratados por la alcaldía de una ciudad de Rio Grande do Sul, porque cada unidad básica tiene un láser”, relata.
Ana Cecilia añade que la revolución del láser también llegará a través de los pacientes, que solicitarán la mejor tecnología para sus tratamientos. “Los odontólogos están empezando a observar al colega de al lado, que realiza el mismo procedimiento con mejores resultados, deja al paciente más satisfecho y, en consecuencia, cobra más. Vamos a empezar a ver esto entre los pacientes. Cada vez más serán atendidos con láser porque llegará el momento en que lo pedirán”, proyecta.
Estar respaldado por una empresa calificada también puede potenciar las posibilidades de crecimiento. “Ultradent actualiza sus protocolos con frecuencia, trae cursos para nuevos y antiguos usuarios del Gemini EVO, además de entrenamientos, mentorías y cursos teóricos para presentar todas las características y formas de uso en diferentes situaciones clínicas. Este es el perfil de la empresa, construido a lo largo de su trayectoria, y que ofrece la mejor tecnología de láser de diodo, así como ya ofrecía el mejor blanqueamiento y el mejor fotopolimerizador”, concluye Manoela.
Conoce algunas de las indicaciones de uso del láser de Ultradent:
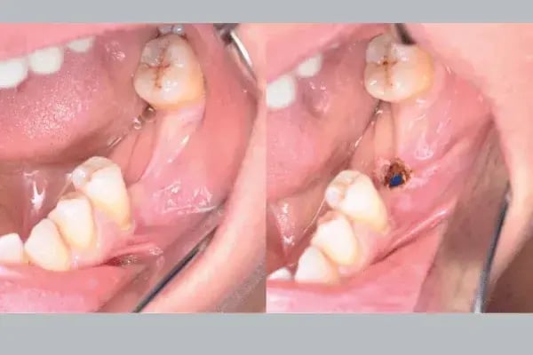
- Apertura de implantes

- Hipersensibilidad dental con PBM

-
Surcado gingival – retracción/desplazamiento gingival para la etapa de impresión

- Postcirugía de tercer molar

- DTM

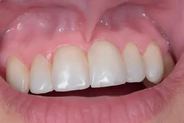
- Frenectomía – antes

-
Frenectomía – después

- Parestesia (hormigueo o adormecimiento)
.webp?width=600&height=400&name=Parestesia%20(hormigueo%20o%20adormecimiento).webp)
¿Tiene dudas sobre el uso clínico del láser Gemini EVO o la fotobiomodulación (PBM)? Déjenos su pregunta en los comentarios ¡con gusto le leemos!
