Publicado originalmente por Optident LTD, Inglaterra.
El Dr. Nikhil Sethi presenta un caso utilizando láseres dentales para realizar una gingivectomía en un canino izquierdo superior primario.
Odontología Láser
Los láseres en odontología pueden ser divididos en dos tipos: láseres de tejido suave y láseres de tejido duro. El láser que utilizamos en este caso es el láser de diodo Gemini 810 + 980 de Ultradent.
El principal uso del láser en este caso fue para festonear el margen gingival de un canino primario para que coincida con el canino adulto contralateral. También fue una herramienta invaluable al crear hemostasia para la adición de composite en el área cervical.
Presentación del caso con Gemini
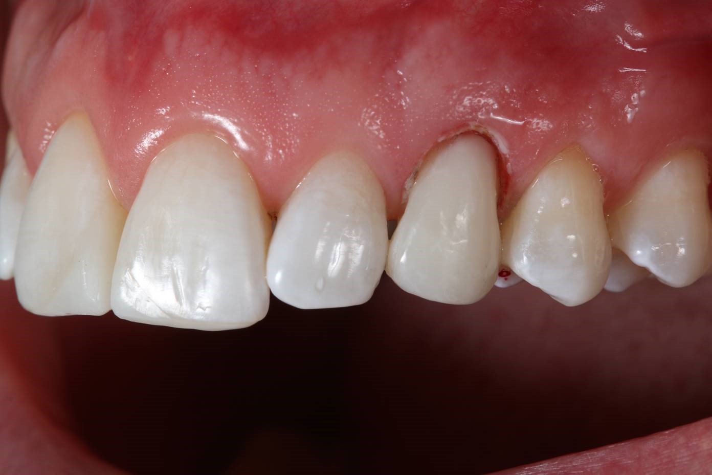
Un hombre de 42 años llegó al consultorio presentando un desgaste cervical significativo en su canino izquierdo superior. A pesar de los años que el diente primario había estado presente, no era móvil, y por consiguiente no había razón para reemplazarlo. El paciente no estaba contento con el color de su diente, ni con la notable diferencia en la altura de la encía en comparación con el canino contralateral permanente.
Plan de tratamiento
Luego de realizar un sondaje óseo, se determinó que el margen cervical podría ser reubicado 1.5 mm apicalmente sin riesgo de sobrepasar el ancho biológico. El plan de tratamiento ordenado para este paciente fue corregir la discrepancia gingival, y luego restaurar el diente con resina compuesta para camuflar; dándole apariencia de canino permanente. También se decidió en la siguiente visita refaccionar el composite en los incisivos centrales ya que los colores no coincidían.
Tratamiento
Usando el láser Gemini de Ultradent en modo gingivectomía, el margen gingival fue festoneado apicalmente 1.5 mm siguiendo un festoneado gingival similar al del diente adyacente.
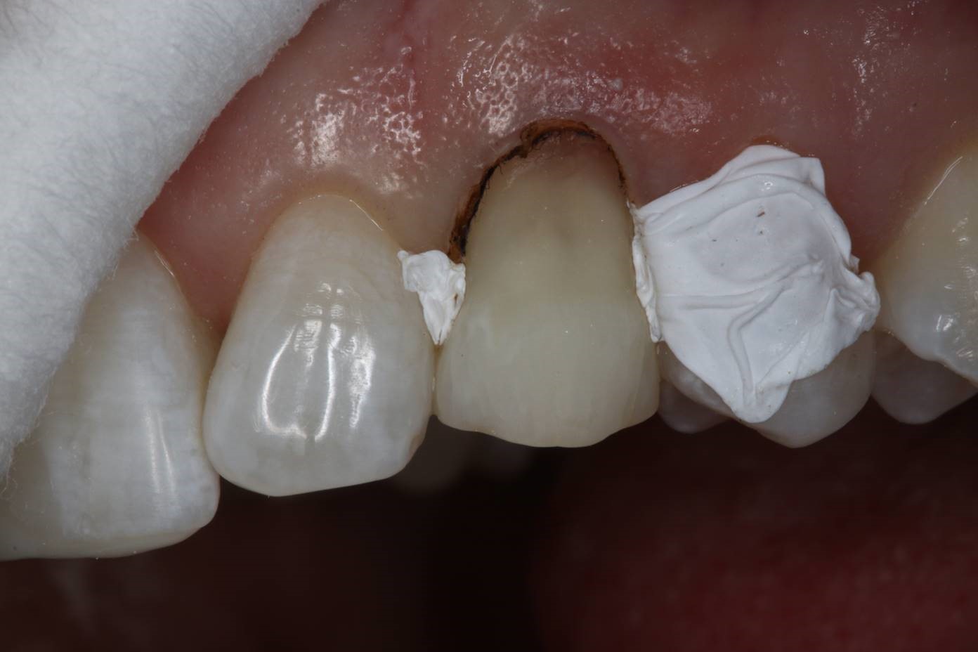
Este procedimiento fue extremadamente rápido y efectivo con el beneficio adicional de una rápida hemostasia y coagulación lo que redujo el riesgo de contaminar el campo de aislamiento con fluido crevicular gingival.
El aislamiento gingival fue reforzado usando el hilo retractor Ultrapak de Ultradent #000. Después del chorreado de arena y luego de seguir un protocolo de adhesivo autograbado, el diente fue restaurado, produciendo un efecto de camuflaje, copiando el canino permanente derecho.
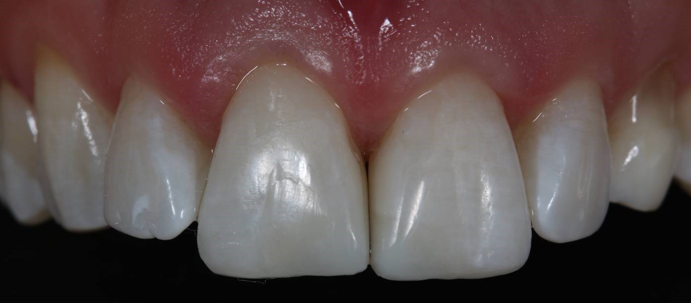
Seguimiento de 6 meses
Durante la visita de control de los seis meses, se pudo notar excelente simetría gingival y una estética aceptable. Se observó que el canino se parecía mucho más al diente contralateral. Adicionalmente, la situación del triangulo negro mejoró moviendo el punto de contacto en las adiciones de resina en los incisivos centrales (usando los principios de Tarnow et al).
Conclusión
Una de las primeras observaciones fue el rápido proceso de sanación luego del uso del láser de diodo Gemini de Ultradent. En un lapso muy corto, el paciente mostró un cambio notable. En resumen, el láser de diodo Gemini fue la herramienta perfecta para festonear el margen gingival con precisión, acelerando la curación con el beneficio agregado de una rápida hemostasia.
El Dr. Nik Sethi se graduó de King's College en Londres en el 2009. Posee una Maestría en Ciencias y odontología estética también de King's College. Desde entonces, se ha establecido con su práctica privada en Londres y ha desarrollado un gran interés en tratamientos restaurativos y endodónticos.
Nik ha participado en diversos y prestigiosos cursos sobre entrenamiento en odontología restaurativa, incluyendo un programa de un año con Tidu Mankoo y Basil Misrahi. También, pertenece al consejo ejecutivo y es miembro de la Academia Británica del Odontología Estética. Nik dicta cursos regularmente sobre restauraciones con composite y es publicado constantemente en Dentistry Magazine, con artículos orientados a la educación de jóvenes odontólogos.
Acerca del láser Gemini:
No importa cuál sea el procedimiento, el innovador láser de diodo Gemini de Ultradent lo hace mas rápido, más fluido y más eficiente. Ser el primer láser odontológico de longitud de onda dual, lo hace definitivamente único. Para la facilidad del usuario, Gemini ofrece 19 procedimientos predeterminados que ajustan automáticamente la configuración del láser brindando el modo de poder más efectivo para procedimientos comunes.
Además, el Gemini ofrece una pantalla electroluminiscente y una estilizada pieza de mano iluminada, que también ofrece la conveniencia de puntas pre-ajustadas, destacando a este innovador equipo odontológico como la próxima generación de láseres de diodo de tejido blando.
Longitud de onda dual – Única en su tipo
El láser Gemini de Ultradent ofrece desarrollo profesional al clínico, optimizando la rentabilidad de su práctica e incrementando la comodidad del paciente.
Aprenda más sobre el láser de diodo Gemini de Ultradent Aquí





