Tiempo de Lectura: 2 min
CLASE II - Enfoque estético por la Dra. Mia Vukelić (Caso clínico)
La paciente acudió a la clínica para un chequeo anual. Tras un examen clínico y radiográfico, se diagnosticó una lesión de caries secundaria en la superficie oclusal del diente 26, así como dos lesiones cariosas adicionales en las superficies distales de los dientes 24 y 25. La paciente no refirió síntomas específicos. El tratamiento indicado consiste en la colocación de una restauración Clase I en el diente 26 y restauraciones Clase II en los dientes 24 y 25.

Tras realizar un aislamiento adecuado con dique de goma y colocar las cuñas, se inició la preparación cavitaria con una fresa cilíndrica. Después de retirar la restauración, se procedió a eliminar la dentina desmineralizada con una fresa de acero. El refinamiento final de la cavidad consistió en transformar las paredes convergentes en divergentes y pulir la superficie interna de la cavidad con fresas de diamante para pulido.
El procedimiento adhesivo incluyó un pretratamiento de grabado selectivo del esmalte con gel de ácido fosfórico al 35% (grabador Ultra-Etch™, Ultradent Products) durante 15 segundos.

Después de enjuagar con agua durante 30 segundos, se procedió a la aplicación de un sistema adhesivo de dos componentes. Primero se aplicó el primer, seguido del bond, y luego se realizó su fotocurado con la lámpara de fotocurado inalámbrica VALO™ (Ultradent Products).
Para la restauración de la pared proximal, se utilizaron las matrices Halo™ y el anillo Halo™ de Ultradent Products.
Se empleó la técnica centrípeta modificada. El paso inicial consistió en aplicar una capa de resina fluida de 0.5 mm de espesor (Tetric EvoFlow™, Ivoclar*).
El material utilizado para la restauración fue la resina Transcend™ (Ultradent Products). La pared proximal se realizó con el tono EW, mientras que las dos capas horizontales posteriores se colocaron en tono A3D. Las características secundarias se lograron utilizando el modificador de color Kolor + Plus™ en tono café (Kerr*).
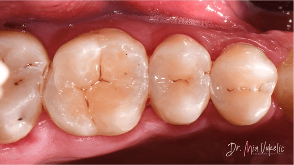
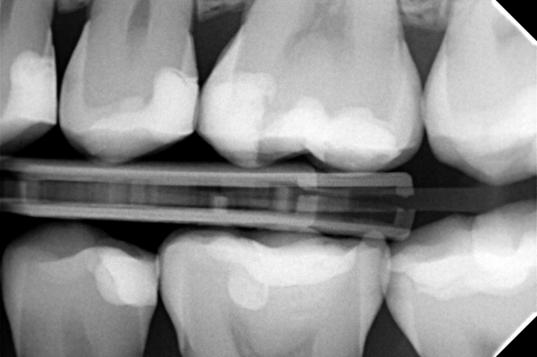
Después del proceso de pulido, la restauración fue recubierta con un sellador de superficie (sellador para resina PermaSeal™, Ultradent Products). Posteriormente, se realizó el control oclusal y radiográfico.
Como puede observarse en las imágenes finales, la resina Transcend™ ofrece una apariencia estética excepcional para la restauración. El sistema de matrices seccionales Halo permitió lograr una excelente anatomía proximal, tal como se aprecia en la radiografía.
*Marca comercial de un fabricante distinto de Ultradent Products.
Lograr una mimetización invisible en el sector posterior sigue siendo uno de los mayores retos en la odontología restauradora. En este caso, la combinación de la técnica centrípeta y las propiedades ópticas de Transcend facilitaron un acabado donde la línea de unión es imperceptible.
Queremos conocer su experiencia:
- ¿Utiliza habitualmente el tono Universal o prefiere la estratificación con tonos de dentina como en este caso?
- ¿Qué importancia le da al sellado final con PermaSeal en sus protocolos de longevidad?
Deje su comentario abajo o comparta este caso con un colega para abrir el debate clínico.
